pattern pattern pattern
Hypertrophied Adenoids and Tonsils
book cover

What are Hypertrophied Adenoids and Tonsils?

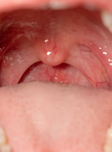
On both sides at the back of the throat are the tonsils. The adenoids are found where the nasal passages meet the throat, higher and further back. The tonsils and adenoids play a part in the body’s ability to resist and fight infections. The tonsils are visible through the mouth, but not the adenoids. Enlargement is what hypertrophy refers to. In children, adenoid hypertrophy is frequent, but it is uncommon in adults. Chronic infection and allergies are the most prevalent causes of adenoid hypertrophy in adults. Pollution and smoking are also significant contributors to tonsil and adenoid enlargement.

Symptoms:

Adeno-tonsillar enlargement may not necessarily result in symptoms. However, if they’re too big, they might partially obstruct your upper airway and make it difficult to breathe.

  • Nasal obstruction/ blockage
  • Mouth breathing
  • Noisy breathing/ Snoring
  • obstructive sleep apnea
  • midday sleepiness, restless sleep
  • a persistent runny nose
  • midday sleepiness, restless sleepInfections in the ears or sinuses regularly
  • Young toddlers who have difficulty eating
  • stale breath

Diagnosis and Treatment?

It’s advisable to see a doctor if you have painful swollen tonsils to rule out an infection that requires treatment. Even though they don’t appear to be in discomfort, young children with big tonsils should visit their doctor if they have sleeping or eating problems. They’ll begin by reviewing your medical history and inquiring about any new symptoms you’re experiencing.

They may also do a throat culture, depending on your symptoms. This entails swabbing the back of the throat for indications of bacterial illness and testing the tissue. A post- nasal space X-ray may also be required to provide details about adenoid hypertrophy. In case of older children and adults, nasal endoscopy is done to evaluate post nasal space and adenoids enlargement.

If you’ve been experiencing problems sleeping or snoring loudly, your doctor may recommend a sleep study to rule out sleep apnea. You’ll usually have to spend the night in a specially built laboratory while a doctor monitors your breathing and other vital signs to do this.

If you have severe hypertrophy and enlargement of adenoids and tonsils then a physician will recommend for Adeno-tonsillectomy surgery. It’s a simple procedure in which the treating doctor will remove your hypertrophied adenoid-tonsillar tissue using any of the mentioned techniques like cold steel instruments, cautery, coblation, laser etc.

book cover
pattern pattern pattern

Specialist Doctors